I would like to
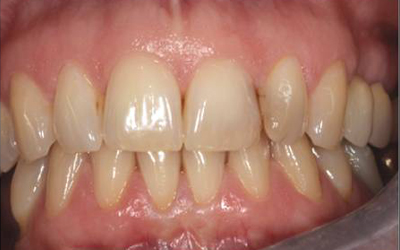
Problem: This patient did not like the yellow colour of her teeth.
Solution: Dr Patel prescribed a two-week course of home whitening followed by an in-surgery whitening procedure which gave...
Learn More
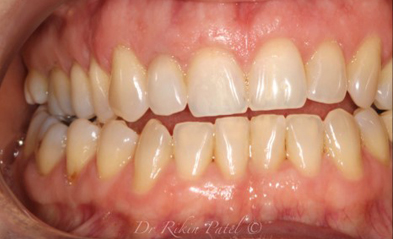
Problem: This patient did not like the yellow colour of her teeth.
Solution: Two Weeks of home whitening followed by an in-surgery whitening procedure has given the patient a refreshed...
Learn More
Problem: This patient did not like how her teeth had a gradually discoloured over the years
Solution: Two Weeks of home whitening procedure prescribed by Dr Patel gave her a...
Learn More
Problem: This lady was very conscience and disliked the dark colour of her upper front tooth
Solution: Dr Patel carried out a non-invasive, single tooth, internal whitening procedure which has...
Learn More
Problem: This gentleman had a knock on his upper front two teeth which were discoloured and chipped. He also disliked the space between his front teeth.
Solution: Dr Patel carried...
Learn More
Problem: This gentleman came to Dr Patel unhappy with the very yellow colour of his old crowns on his upper front two teeth.
Solution: The patient was prescribed a home...
Learn More
Problem: This patient came to see Dr Patel unhappy with the very mismatched and poor appearance of her upper front teeth.
Solution: Dr Patel provided a gentle whitening system for...
Learn More
Problem: This lady came to Dr Patel as she did not like the single tooth space she had on the upper left-hand side of her mouth.
Solution: After considering implants...
Learn More
Problem: This lovely lady came to Dr Patel concerned about the yellow colour of her teeth.
Solution: A course of Enlighten tooth whitening gave her a refreshed and rejuvenated smile.
Learn More
Problem: This lady came to Dr Patel concerned about the different colour of her teeth.
Solution: A course of Enlighten tooth whitening gave her a fresh balanced smile which she...
Learn More
Problem: This patient came to Dr Patel concerned the yellow colour of her teeth.
Solution: A course of Enlighten tooth whitening gave her a result that she surely could smile...
Learn More
Problem: This lady came to Dr Patel concerned about her discoloured front tooth that had root canal treatment done many years ago.
Solution: Dr Patel carried out internal whitening one...
Learn More
Problem: This lady was very conscious and disliked the dark colour of her upper front tooth.
Solution: Dr Patel carried out a non-invasive, single tooth, internal whitening procedure which has...
Learn More
Problem: This gentleman had a knock on his upper front two teeth which were discoloured and chipped. He also disliked the space between his front two teeth.
Solution: Dr Patel...
Learn More
Problem: This gentleman came to Dr Patel concerned about some chipped front teeth and uneven tooth position.
Solution: Teeth straightening with Invisalign® treatment and some cosmetic composite bonding by Dr...
Learn More
Problem: This patient was concerned with the spaces between her upper front four teeth.
Solution: Dr Patel discussed options for braces and veneers, both of which the patient did not...
Learn More
Problem: This gentleman came to Dr Patel unhappy with the very yellow colour of his old crowns on his upper front two teeth.
Solution: The patient was prescribed a home...
Learn More
Problem: This patient came to see Dr Patel unhappy with the very mismatched and poor appearance of her upper front teeth.
Solution: Dr Patel provided a gentle whitening system for...
Learn More
Problem: This lady came to Dr Patel as she did not like the single tooth space she had on the upper left hand side of her mouth.
Solution: After considering...
Learn More
Problem: This young man was unhappy with the misalignment of his teeth on the upper and lower jaws.
Solution: Dr Patel provided Invisalign 'Invisible' brace treatment to give him perfectly...
Learn More
Problem: This lovely lady came to Dr Patel concerned about her 'sticky outy' teeth on her right hand side of her mouth and that her upper front two teeth appeared...
Learn More
Problem: This pleasant young man disliked the gap between his upper front teeth.
Solution: Dr Patel carried out a course of Invisalign 'invisible' braces treatment which achieved results in about...
Learn More
Problem: This patient disliked her overlapped upper front teeth and spacing between her lower teething requested veneers on her teeth.
Solution: Dr Patel requested the patient to consider Invisalign brace...
Learn More
Problem: This young lady was unhappy with her crowded teeth on the upper and lower jaws.
Solution: Dr Patel provided Invisalign 'Invisible' brace treatment to give perfectly aligned teeth.
Learn More
Problem: This young lady was unhappy with her crowded and overlapped front teeth.
Solution: Dr Patel provided Invisalign 'Invisible' brace treatment to give the patient perfectly aligned teeth.
Learn More
Problem: This young lady was unhappy with her crowded teeth on the lower jaw.
Solution: Dr Patel provided Invisalign 'Invisible' brace treatment to give the patient perfectly aligned teeth and...
Learn More![]()
Dental Arts Studio is committed to providing state of the art dentistry